SINCE 2000 / STM치과의 스페셜리티

한 장소에서 26년, 경력과 노하우를 지닌  교정전문의의 스페셜한 진료

인비절라인 인증병원

소아교정/성장기 안면 교정

주걱턱 교정 / 수술교정 전문

인비절라인/투명교정 

최신 디지털스케너 / itero 맞춤형 치료 전후 시뮬레이션 혁신적인 인비절라인

  1. 투명한 장치
  2. 통증과 이물감이 적음
  3. 발음에 지장이 적음
  4. 위생적이고 구강관리가 용이함
  5. 탈착이 가능(식사가 용이함)
  6. 3D 디지털 스캔으로 개인별 맞춤형 치료계획
  7. 개인별 치료전,후의 시뮬레이션
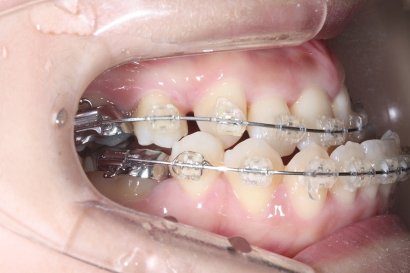
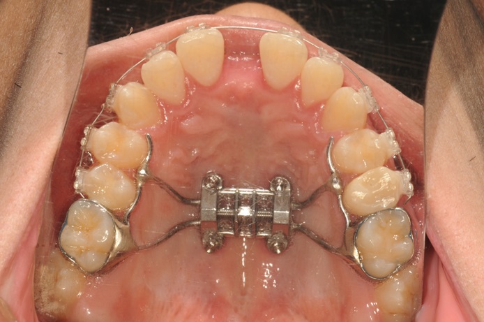
STM치과 의료진들의 오랜 경험에 따른 우수한 진료의 시술 전후 사진을 비교해 보세요!

치아교정 전후 사진 Before & After

치과의사를 위해 강연하는 최용현 박사

10년간 STM교정아카데미를 운영하며 치과의사를위한 치과교정학과 악관절학을 강연
https://dentipia.com/

최용현 박사 / 치과교정전문의

  • 일본 국립토호쿠대학 치과교정학과 전문의과정 수료
  • 일본 국립 토호쿠대학 치과교정학과 박사학위 취득
  • 국립중앙의료원 구강외과 수료
  • 전남대학교 치과대학원 구강외과 석사 취득
  • 대한치과교정학회 정회원/미국/일본/유럽교정학회 국제 회원
  • 현 일본 홋카이도의료대학 객원교수
  • 현 건국대학병원 치과 임상교수
  • 전남대학교치과대학 외래교수역임
  • 전북대학교 치과대학 외래교수역임
  • 성균관의대 삼성의료원 교정과 외래교수 역임
  • 경희대학교 치과대학 외래교수 역임
  • 대한 치과교정학회 국제이사 역임
  • 대한턱관절협회 부회장
  • 대한 두개하악장애학회 부회장 역임
  • 대한심신치의학회회장 역임
번역본2

최신교정학/역자

최신치과교정학은 일본 TAKADA 교수의 저서로 많은 일본 치과대학에서 교재로 사용하고 있는 책으로 최용현교수는 대한로스교정학회 오성진회장님과 공동으로 번역하였습니다.

den07.jpg

10년 이상 함께한 전문 스텝진

10년에서 20년 이상을 함께한 전문적인 진료 스텝진이 함께합니다.

일반치료도 가능한 병원

교정치료뿐 만 아니라 30년 임상 노하우를 지닌 대표원장의 일반 진료가 가능합니다.

ch09.jpg

증례로보는 악관절증/역자

최용현교수는 악관절증의 보존적 치료방법의 모든 것을 담은 악관절을 치료하는 치과의사의 필독서를 번역하였습니다.

증례책

치아 교정치료 !!

아직도 망설이고 계신가요?

숙련된 STM교정전문의에게 맏겨보십시요.

STM치과와 협력 병원 및 단체